Histeroscopia
Este o procedură chirurgicală minim invazivă care utilizează un un histeroscop (tub subțire de fibre optice) pentru a vizualiza interiorul uterului (cavitatea endometrială). Histeroscopia permite atât diagnosticul cât și tratamentul diverselor anomalii uterine care pot provoca infertilitate, avorturi spontane recurente, sângerări anormale și dureri pelvine.
Cum se realizează?
Histeroscopia poate fi efectuată atât în sala de operație a unui spital cât și în cadrul unui centru medical, cu anestezie locală sau generală, în funcție de tipul de histeroscopie (diagnostică sau operatorie) planificată pentru dumneavoastră.
Histeroscopia se realizează cu pacienta așezată în poziție ginecologică, iar după introducerea histeroscopului în interiorul uterului (prin colul uterin) medicul va inspecta cavitatea uterină pentru a detecta modificările acesteia, imaginile fiind proiectate cu ajutorul unei camere de înaltă rezoluție pe un monitor. Histeroscopia diagnostică durează doar 10-15 minute, iar acest interval de timp se poate prelungi dacă se vor efectua și o serie de proceduri precum biopsie, extragere polipi endometriali, fibroame uterine sau corecția unor malformații uterine.
Pregătirea pentru histeroscopie
- Dacă sunteți programată să vi se îndepărteze un fibrom, se poate recomanda un tratament specific (de exemplu Diphereline) timp de câteva săptămâni înainte de operație, pentru a micșora dimensiunea fibromului.
- Histeroscopia se efectuează cel mai bine în prima săptămână după menstruație (ziua 5-12 a ciclului).
- Este recomandat să informați medicul dacă sunteți sau ați putea fi gravidă, dacă sunteți alergică la vreun medicament sau dacă luați medicamente sau antiagregante (precum Aspirina sau Trombex).
- Vi se va cere să semnați un formular de consimțământ care să acorde medicului permisiunea de a efectua intervenția minim invazivă.
- Nu se recomandă să mâncați sau să beți după miezul nopții cu o zi înainte de operația programată, chiar dacă se va utiliza anestezia locală.
Aspectul normal al cavității uterine
În mod normal, cavitatea uterină are pereți netezi și este lipsită de fibroame, țesut cicatricial, malformații congenitale sau polipi (Fig.1). Simultan cu inspecția aspectului pereților uterini se vizualizează și originea trompelor uterine (dreaptă și stângă) – Fig. 2
Indicațiile pentru histeroscopie includ:
- Polipi uterini
- Fibroame uterine
- Aderențe la nivelul cavității uterine
- Anomalii uterine congenitale
- Infertilitate, eșecuri recurente de implantare în cadrul fertilizării in vitro
- Avorturi spontane recurente
- Sângerări uterine anormale
- Extragerea steriletelor care nu mai au firele vizibile sau accesibile
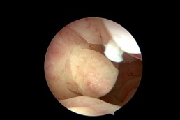
Polipii uterini
Polipii uterini reprezintă proliferări locale ale endometrului (mucoasa ce căptușește cavitatea uterină) și în marea majoritate a cazurilor sunt benigni. Ei pot provoca sângerări anormale, infertilitate sau pot interfera cu implantarea embrionilor în cursul fertilizării in vitro. Polipii endometriali pot fi diagnosticați cu ajutorul ecografiei, iar histeroscopia certifică acest diagnostic. În plus, histeroscopia permite și rezecția și extragerea polipilor endometriali. (fig. 3, 4)
Fibroame uterine
Atunci când se dezvoltă în cavitatea uterină sau în imediata apropiere a cavității, fibromele pot provoca infertilitate, avort spontan recurent, sângerări anormale și dureri menstruale severe.
Astfel de fibroame sunt numite intracavitare sau submucoase. Prezența lor poate fi confirmată prin ecografie sau sonohisterografie (introducerea unei soluții saline intrauterine în timpul ecografiei) sau prin vizualizare directă cu un histeroscop (fig. 5).
Fibroamele pot fi rezecate în fragmente mici, cu ajutorul unor anse electrice în cadrul histeroscopiei, procedeu numit rezectoscopie (fig. 6). Fragmentele rezecate sunt colectate din cavitatea uterină și trimise la laboratorul de anatomie – patologică pentru diagnostic histologic. Cavitatea uterină are aspect normal după operație, crescând foarte mult probabilitatea unei sarcini reușite.
Sindrom Asherman (Sinechia uterină)
Țesutul cicatricial și aderențele din cavitatea uterină (fig. 7, 8) pot apărea după chiuretaje uterine, o intervenție chirurgicală uterină anterioară sau pot fi urmarea unei infecții. Prezența acestor aderențe oferă un mediu intrauterin nefavorabil implantării embrionului. Dacă aderențele sunt extinse la întreaga cavitate uterină pot determina absența menstruației. În timpul histeroscopiei aceste aderențe pot fi secționate cu ajutorul unor foarfeci speciali ce permit astfel refacerea cavității uterine (fig. 14). După operație, un mic balon poate fi introdus temporar în cavitatea uterină pentru a împiedica reapariția aderențelor sau pot fi utilizate geluri (ce conțin acid hialuronic) ce au același rol.
Infertilitate
Histeroscopia reprezintă o etapă importantă în cadrul investigațiilor efectuate pacientelor ce prezintă diagnosticul de infertilitate. Histeroscopia poate identifica modificări subtile ale cavității uterine, ce nu pot fi diagnosticate prin ecografie, ceea ce face ca această inervenție să devină extrem de utilă la pacientele cu infertilitate. Un exemplu poate fi reprezentat de inflamația cronică a endometrului, situație numită endometrită (Fig. 9, 10).
Septul uterin
Septul uterin reprezintă o malformație congenitală a uterului. Cavitatea uterină este împărțită în două compartimente de o porțiune de țesut fibros numită sept uterin (fig. 11). Această anomalie poate provoca pierderi recurente ale sarcinii, infertilitate și diverse complicații obstetricale. Corecția septului poate fi efectuată în timpul histeroscopiei, cu ajutorului unor foarfeci speciali sau a ansei electrice ce vor secționa septul și vor reda cavității uterine atât un aspect cât și o funcție normală.
Hiperplazia de endometru
Reprezintă o proliferare parțială sau totală a endometrului (mucoasa ce tapetează cavitatea uterină). (fig.12, 13). Histeroscopia identifică aceste modificări și poate preleva mostre pentru examenul anatomo-patologic.
Cât de sigură este histeroscopia?
Histeroscopia este o procedură chirurgicală sigură. Există uneori însă riscul de apariție a unor complicații și anume:
- Sângerări uterine, care apar la 3% dintre proceduri (în special când intervenția are și rol terapeutic).
- Perforația uterului apare la mai puțin de 1% dintre pacienți
- Foarte rar, poate apărea perforația intestinului sau a vezicii urinare, situații ce necesită corecția chirurgicală a complicației.
- Există un risc mic de complicații în urma anesteziei.
- Rar, pot apărea infecții în urma histeroscopiei.
Recuperarea după histeroscopie
- Veți fi dusă într-un salon de recuperare imediat după intervenție. Asistentele medicale vă vor îngriji și vă vor monitoriza funcțiile vitale timp de 1 până la 3 ore sau până când va trece efectul anesteziei.
- Postoperator pot apărea dureri moderate pelvine, caz în care se pot administra medicamente antalgice (precum Paracetamol).
- Este normal să sângerați câteva zile după operație.
- Ar trebui să utilizați șervețele igienice mai degrabă decât tampoane și să evitați actul sexual sau exercițiile fizice intense două săptămâni după intervenție.
- Puteți relua activitățile normale la 24 de ore după intervenție.
Când trebuie contactat medicul?
În următoarele situații:
- Sângerări abundente
- Febră sau frisoane
- Dureri abdominale severe
- Problemă la urinare
- Dificultăți de respirație
Programează-te pentru o consultaţie
Efectuarea unei solicitări de programare online constituie acceptul tău pentru prelucrarea datelor.











